clear aligner orthodontics in cumming, ga

Clear aligner therapy straightens teeth without traditional wires and brackets. We are able to offer state of the art treatment options using the latest technology to enhance your smile with orthodontics, while staying within your budget.

Clear Aligner Orthodontics in Cumming, GA

Clear aligner therapy straightens teeth without traditional wires and brackets. We are able to offer state of the art treatment options using the latest technology to enhance your smile with orthodontics, while staying within your budget.

clear aligner orthodontics in cumming, ga

Clear aligner therapy straightens teeth without traditional wires and brackets. We are able to offer state of the art treatment options using the latest technology to enhance your smile with orthodontics, while staying within your budget.

Clear Aligner Orthodontics in Cumming, GA

Clear aligner therapy straightens teeth without traditional wires and brackets. We are able to offer state of the art treatment options using the latest technology to enhance your smile with orthodontics, while staying within your budget.

Hear from patients at

pinewood dentistry

"I have struggled to find a dental office/team that I don't dread going to for years. With Pinewood Dentistry, I not only don't dread going, I enjoy it. The entire staff makes you feel comfortable. As a child, it was ingrained into me that you go to the dentist every 6 months, but during the pandemic I definitely slacked off and after 2 years was not feeling great about the state of my teeth. There was a lot of anxiety walking into that office, but I was treated with nothing but kindness and respect. I didn't feel judged for one minute. If I could give more than five stars I would. You won't regret the switch."

CHERIE

"My dental treatments at Pinewood Denistry have been nothing short of excellent. I had several root canals done, a couple of teeth extracted, and ten new crowns placed on upper jaw teeth over a period of 6 weeks. The entire staff was friendly and very professional, and made the entire experience much less traumatic than I had imagined it to be beforehand. Special thanks to Dr. Bishop and Payden Gross for their work; and a special shout out to Payden for her recommendation to use their services. For the first time in my life I have a smile that I am proud of."

MIKE

"I had the best experience!!!! If you are like me, afraid, scared, and lack of trust when it comes to dental work, look no further. I have always had bad luck with selecting a gentle yet informative dentist that would make me feel comfortable enough to guide me through the most painful times when it comes to dental work. Dr. Bishop was very kind, he assured me several times it was going to be ok. His concerns helped me relax and get through TWO emergency extractions. Not only am I grateful for finding him on the web as a first time patient, but I will see him again as a NEW patient!"

MARGARET

Hear from patients at

pinewood dentistry

"I have struggled to find a dental office/team that I don't dread going to for years. With Pinewood Dentistry, I not only don't dread going, I enjoy it. The entire staff makes you feel comfortable. As a child, it was ingrained into me that you go to the dentist every 6 months, but during the pandemic I definitely slacked off and after 2 years was not feeling great about the state of my teeth. There was a lot of anxiety walking into that office, but I was treated with nothing but kindness and respect. I didn't feel judged for one minute. If I could give more than five stars I would. You won't regret the switch."

CHERIE

"My dental treatments at Pinewood Denistry have been nothing short of excellent. I had several root canals done, a couple of teeth extracted, and ten new crowns placed on upper jaw teeth over a period of 6 weeks. The entire staff was friendly and very professional, and made the entire experience much less traumatic than I had imagined it to be beforehand. Special thanks to Dr. Bishop and Payden Gross for their work; and a special shout out to Payden for her recommendation to use their services. For the first time in my life I have a smile that I am proud of."

MIKE

"I had the best experience!!!! If you are like me, afraid, scared, and lack of trust when it comes to dental work, look no further. I have always had bad luck with selecting a gentle yet informative dentist that would make me feel comfortable enough to guide me through the most painful times when it comes to dental work. Dr. Bishop was very kind, he assured me several times it was going to be ok. His concerns helped me relax and get through TWO emergency extractions. Not only am I grateful for finding him on the web as a first time patient, but I will see him again as a NEW patient!"

MARGARET

our solution

Clear Aligners

Clear aligners are made from a thick, clear, patented plastic material called SmartTrack. Patients that lead an active lifestyle may appreciate Clear aligner’s sturdy material and durability.

  • Treats severe misalignment
  • Original clear aligner treatment
  • Patented SmartTrack material

starting at $3,400 or $100/mo with financing

our solution

Clear Aligners

Clear aligners are made from a thick, clear, patented plastic material called SmartTrack. Patients that lead an active lifestyle may appreciate clear aligners’ sturdy material and durability.

  • Treats severe misalignment
  • Original clear aligner treatment
  • Patented SmartTrack material

starting at $3,400 or $100/mo with financing

Why Should I

Choose Clear Aligners?

No More Metal Brackets & Wires

More Comfortable Than Traditional Braces

Faster Results For Less Money

Why Should I

Choose Clear aligners?

No More Metal Brackets & Wires

More Comfortable Than Traditional Braces

Faster Results For Less Money

Meet

Dr. Lincoln Fantaski

Your smile deserves the best and that's what you can come to expect when you visit Dr. Stein. She is passionate about high-quality, modern dentistry and proudly delivers top-tier, custom dental solutions for all her patients in San Francisco.


Empathetic by nature and intentional with her care, Dr. Stein enjoys connecting with her patients on an emotional level and building strong relationships grounded in trust. She will take the time to genuinely get to know you and lend a generous listening ear to your needs to give you the radiant, thriving smile you deserve.

Meet

Dr. fantaski & dr. bishop

With decades of experience elevating smiles and enhancing oral health, Dr. Fantaski and Dr. Bishop are delighted to serve their community with cutting-edge care in a warm and welcoming new practice. Both doctors strive to achieve the same goal; to treat patients like family and ensure every smile is heard, cared for, and valued. Dedicated to advanced technology, patient satisfaction, and continuing education, Dr. Fantaski and Dr. Bishop are committed to providing truly exceptional care for all patients in Cumming and surrounding areas.

Meet

Dr. Lincoln Fantaski

Your smile deserves the best and that's what you can come to expect when you visit Dr. Stein. She is passionate about high-quality, modern dentistry and proudly delivers top-tier, custom dental solutions for all her patients in San Francisco.


Empathetic by nature and intentional with her care, Dr. Stein enjoys connecting with her patients on an emotional level and building strong relationships grounded in trust. She will take the time to genuinely get to know you and lend a generous listening ear to your needs to give you the radiant, thriving smile you deserve.

Meet

Dr. fantaski & dr. bishop

With decades of experience elevating smiles and enhancing oral health, Dr. Fantaski and Dr. Bishop are delighted to serve their community with cutting-edge care in a warm and welcoming new practice. Both doctors strive to achieve the same goal; to treat patients like family and ensure every smile is heard, cared for, and valued. Dedicated to advanced technology, patient satisfaction, and continuing education, Dr. Fantaski and Dr. Bishop are committed to providing truly exceptional care for all patients in Cumming and surrounding areas.

Over 9 Million People

have straightened their smiles with Clear Aligner.

Over 9 Million People

have straightened their smiles with Clear Aligners.

$99 consultation & x-rays

The Invisalign Treatment Process

Consultation & Exam

What to expect during your first visit:

  • The doctor will examine your bite and smile


  • Find out if Invisalign is the right treatment for you


  • Ask any questions about Invisalign or other treatments

Creation Of Your Trays

After you’re approved for treatment:

  • We will take scans or impressions of your teeth


  • Ensure your Invisalign trays fit perfectly


  • Notify you when you can pick up your aligners from our office

Aligner Pick up & Check-ins

After you receive your aligners:

  • Drop by our office every six weeks for your next aligner sets


  • We'll do a quick check to make sure your treatment is on track


  • You're on your way to a perfect smile!

The Clear aligners Treatment Process

Initial Consultation & Exam

What to expect during your first visit:

  • The doctor will examine your bite and smile


  • Find out if aligners are the right treatment for you


  • Ask any questions about aligners or other treatments

Creation of Your Trays

After you’re approved for treatment:

  • We will take scans or impressions of your teeth


  • Ensure your aligner trays fit perfectly


  • Notify you when you can pick up your aligners from our office

Aligner Pick-up & Check-ins

After you receive your aligners:

  • Drop by our office every six weeks for your next aligner sets


  • We'll do a quick check to make sure your treatment is on track


  • You're on your way to a perfect smile!

The Invisalign Treatment Process

Initial Consultation & Exam

What to expect during your first visit:

  • The doctor will examine your bite and smile


  • Find out if Invisalign is the right treatment for you


  • Ask any questions about Clear Aligner or other treatments

Creation of Your Trays

After you’re approved for treatment:

  • We will take scans or impressions of your teeth


  • Ensure your Invisalign trays fit perfectly


  • Notify you when you can pick up your aligners from our office

Aligner Pick-up & Check-ins

After you receive your aligners:

  • Drop by our office every six weeks for your next aligner sets


  • We'll do a quick check to make sure your treatment is on track


  • You're on your way to a perfect smile!

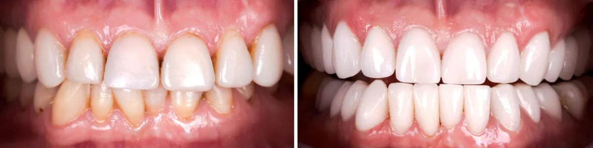
Before & After

Stop Scrolling &

Start Straightening!

Stop Scrolling &

Start Straightening!

The Invisalign Treatment Process

The Invisalign Treatment Process

The Invisalign Treatment Process

Meet

Dr. Blalock

Dr. Blalock grew up on a beef cattle farm in Crossville, TN. The time he spent working on the farm taught Dr. Blalock valuable problem-solving skills and a good work ethic. After Dr. Blalock suffered a dental injury when a cow’s hoof contacted his teeth, his dentist repaired his smile and sparked a fascination for the art of dentistry. Because of that experience, Dr. Blalock realized his calling was to become a dentist. He loves that dental work gives him the ability to work creatively with his hands while interacting with patients and making a positive impact on their lives.


Dr. Blalock graduated Summa Cum Laude from Tennessee Tech University with an undergraduate degree in health science biology. He went on to graduate with honors from the University of Kentucky College of Dentistry

Meet

Dr. Blalock

Dr. Blalock grew up on a beef cattle farm in Crossville, TN. The time he spent working on the farm taught Dr. Blalock valuable problem-solving skills and a good work ethic. After Dr. Blalock suffered a dental injury when a cow’s hoof contacted his teeth, his dentist repaired his smile and sparked a fascination for the art of dentistry. Because of that experience, Dr. Blalock realized his calling was to become a dentist. He loves that dental work gives him the ability to work creatively with his hands while interacting with patients and making a positive impact on their lives.

Dr. Blalock graduated Summa Cum Laude from Tennessee Tech University with an undergraduate degree in health science biology. He went on to graduate with honors from the University of Kentucky College of Dentistry

Have Questions About Clear Aligners?

Find Answers Here

If you have minor or moderate orthodontic issues, you are likely a good candidate for treatment with aligners. So long as your mouth is free of any oral health issues like gum disease or tooth decay, you will probably be eligible to proceed with treatment. However, aligners are not for everyone. Severe orthodontic issues may not be able to be addressed with aligners. In these cases, we usually recommend treatment with traditional metal or ceramic braces as they can provide more powerful results. To find out about your options for orthodontic treatment, schedule your consultation today!

While your trays look very similar to night guards and mouthguards, we do not recommend that you use Clear aligners as a nightguard. The clear plastic trays are designed to gently shift your teeth, not protect them. If you grind your teeth at night, we may recommend that you get a night guard to protect your teeth and go with traditional braces instead of aligners. If you wear your aligners at night and notice that they are becoming cracked or worn down, this may be a sign that you are grinding your teeth at night. This will affect your treatment so be sure to let your doctor know right away if you think you might be grinding your teeth.

The cost of treatment is usually comparable to the cost of traditional braces. Every case is different, though, so it’s important to discuss your budget with your doctor. During your consultation, your doctor will consider multiple factors including your needs, your lifestyle, and your budget before helping you decide which treatment to proceed with.

The aligners are nearly impossible to see when wearing them. This is because they are made out of clear plastic and are perfectly fit to your smile. Your trays will be custom-made trimmed to fit to your gum line for a more seamless look. Plus there are no metal brackets or wires, so you can feel confident in your smile throughout treatment. However, if you eat or drink with your aligners in, they could become stained, making them more visible.

Orthodontic aligners are designed onto a mold of your teeth. A lab technician will apply layers of a photo-sensitive liquid resin to this custom mold. Next, the technician will expose this resin to a laser, curing it into a hard, yet flexible, thermoplastic. For Clear aligners, this plastic is called SmartTrack®, and it was created exclusively for Invisalign treatment. It’s FDA-approved and contains no BPA, BPS, latex, or gluten.

Can't Call Right Now?
Submit your contact info below and we'll get back to you!

Conveniently Located Office

We’re proud to serve the greater Cumming & Northern Atlanta community with quality veneers. Book your appointment today!

Latest Technology

One of the aspects of our office that sets us apart from the rest is our dedication to keeping up with modern dentistry. With advanced imaging techniques like our CBCT and intraoral scanners, we can create accurate representations of your teeth, gums, and underlying structures, all in 3D.

Hours:

Monday: 8:00AM - 6:00PM

Tuesday: 8:00AM - 6:00PM

Wednesday: 8:00AM - 4:00PM

Thursday: 8:00AM - 2:00PM

Friday: 8:00AM - 1:00PM

*Available by phone before & after-hours for your convenience.

Address:

980 Sanders Rd Suite 200, Cumming, GA 30041

980 Sanders Rd Suite 200, Cumming, GA 30041, USA

Pinewood Dentistry, 2026

Powered by Wonderist Agency, WonderFunnels | Privacy Policy

Hours:

Monday: 8:00AM - 6:00PM

Tuesday: 8:00AM - 6:00PM

Wednesday: 8:00AM - 4:00PM

Thursday: 8:00AM - 2:00PM

Friday: 8:00AM - 1:00PM

*Available by phone before & after-hours for your convenience.

Address:

980 Sanders Rd Suite 200, Cumming, GA 30041

980 Sanders Rd Suite 200, Cumming, GA 30041, USA

Pinewood Dentistry, 2026

Powered by Wonderist Agency, WonderFunnels | Privacy Policy